您当前的位置: 首页 > 新闻动态 > luck18(中国)体育
--新利官网登录完成我县首例人工反置式肩关节置换术
“成功没有捷径,奋斗创造奇迹。”近日,新利官网登录骨外科医疗团队在院党委副书记、院长、兴玉名医陈志强主任医师的带领下,独立完成了我县首例人工反置式肩关节置换术。由于该项手术技术要求高、难度大、操作复杂,省内仅少数几家大型三甲医院能够独立开展,全省手术量年均仅数十台,是目前业界治疗类似疾病最先进的技术,该项手术在新利官网登录的成功独立开展,标志着新利官网登录除了人工髋膝关节置换技术外,人工肩关节置换技术也步入省级先进行列。
1.术前体格检查显示患者右侧肩功能严重受限,活动严重受限,需要依靠外力辅助才能活动

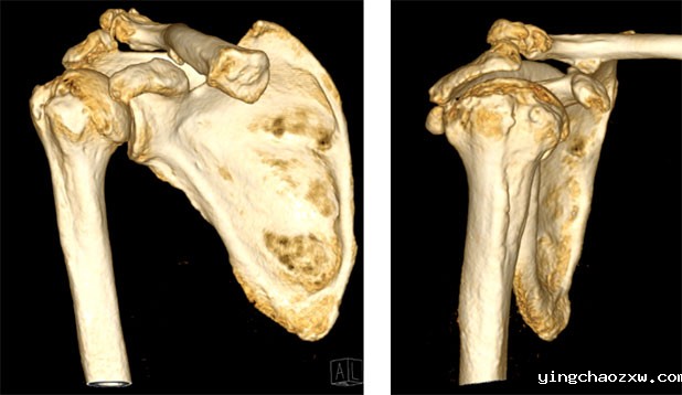
2.术前X片和CT提示严重的肩关节骨关节病。


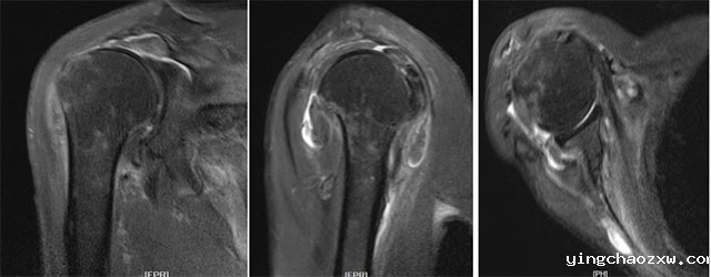
3.术前磁共振检查显示严重的肩袖撕裂。

据悉,该患者为男性,现年85岁,近年来反复感觉右侧肩关节疼痛不适,屡次开展保守治疗,但效果不佳。近半月来疼痛加剧,肩关节活动障碍,严重困扰患者日常生活。患者入院后,陈志强主任医师及其团队认真研讨患者病情,因患者肩袖多年陈旧性断裂已经无法修复,传统全肩关节置换术治疗此类病例肩关节功能根本不能改善和恢复,团队最终决定为患者选择了目前业界治疗此类疾病的最佳治疗方案——反置式肩关节置换术进行治疗。在陈志强主任医师和骨外科全体医务人员的共同努力下,本次手术非常顺利,历时1小时即告完成。术后一周,患者肩关节疼痛消除,功能恢复良好,患者及家属对治疗效果非常满意。
4.术中手术情景。

5.术后X片。

6.术后功能恢复,肩关节恢复自主活动。

人工反置式肩关节置换术是一种将关节假体通过外科手术植入人体内,代替病损关节,达到缓解关节疼痛,恢复关节功能目的的骨关节外科手术,人工反置式肩关节置换包括人工肱骨头置换和肩胛盂表面置换,主要针对巨大肩袖撕裂和肩关节严重骨关节病。反置式肩关节置换时将肩关节假体的球形关节头置于肩胛盂侧,而关节盂置于肱骨近端,与正常盂肱关节配对形式相反。这样的设计可以使关节的旋转中心下移并内移,凹关节面支撑,凸关节面负重,使得三角肌能够直接发挥带动肩关节活动的作用,增加了三角肌的力矩,使肩关节的上举功能可以由三角肌来完成,让肩袖严重损伤的患者获得更好的肩关节功能,反置式肩关节置换作为“高精尖”手术方式在国内开展得并不多,但对于复杂严重肩关节巨大肩袖撕裂和肩关节严重骨关节病却是最佳的治疗方法,可以最大程度恢复肩关节正常功能。如果患者年龄在65岁以上,出现巨大不可修复的肩袖撕裂、合并有肩关节骨关节病、肩峰和肱骨头间隙小于5mm甚至消失,均可考虑选择反置式肩关节置换手术。
“大道如砥,行者无疆。笃志前行,虽远必达。”近年来,新利官网登录坚持“技术兴医、人才强院”的办院理念和“医疗技术是医院第一生产力”的发展理念,全院上下大力弘扬“敢闯敢试,敢为人先”的改革精神,敢于挑战、勇于突破,奋力攻坚克难,不断攻克高精硬核技术。目前,新利官网登录骨外科在肩关节疾病方面已形成系统性的治疗,针对肩关节不同阶段的疾病,已能常规开展肩关节镜下肩袖修补术、习惯性肩关节脱位肩盂修补术、关节镜下肩关节松解术、半肩关节置换术、全肩关节置换术等高新技术。本次开展的反置式肩关节置换术在国际上属于先进技术,该项技术的成功独立开展是新利官网登录骨外科在人工肩关节置换治疗严重肩关节巨大肩袖撕裂、肩关节严重骨关节病等方面取得的又一个重大技术突破,有力地填补了医院在肩关节置换领域的一项空白,为广大患有肩袖严重损伤和肩关节严重骨关节病的老年患者带来了福音。在今后的发展进程中,新利官网登录将深入学习贯彻党的二十大精神,全力树牢“以人民健康为中心”的发展思想,认真践行“人民医院为人民”的医院宗旨和“团结奉献、精益求精”的医院精神,紧紧抓抓“新医改”向纵深发展的良好机遇,求索进取,开拓创新,站稳学科发展前沿,紧跟学科发展步伐,努力推动骨科医疗技术向智能化、精准化、微创化发展,不断推进骨科专科品牌建设,全力打造省级骨科专科品牌,以精湛的医疗技术、优质的医疗服务、高尚的医德医风造福广大骨科疾病患者,切实缓解基层群众“看病难、看病贵、看病远、看病烦”问题,真正实现“大病不出县、小病不出乡、头疼脑热不出村”的医改目标,努力在新时代新征程上交出无愧于时代、无愧于人民的满意答卷!