您当前的位置: 首页 > 新闻动态 > luck18(中国)体育
—新利官网登录首例种植牙手术成功开展
“击楫中流须奋进,破浪乘风一举酬。”近日,在昆明医科大学附属口腔医院对口帮扶专家、主治医师张云鹏博士的带领下,新利官网登录成功开展首例种植牙手术,实现了医院种植牙技术的零突破。

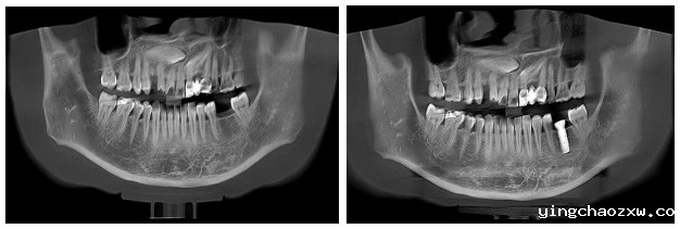
据悉,患者1年前因龋坏拔除左下后牙1颗,但未进行修复。今年2月,因咀嚼效率不佳到新利官网登录北院区(新平县人民医院)口腔科就诊。为帮助患者修复缺失牙齿,提升患者生活质量,昆明医科大学附属口腔医院对口帮扶专家、主治医师张云鹏博士带领北院区口腔科医疗团队对患者缺失牙齿部位进行了全面细致的检查,并为其制定了种植修复方案。在长达2个多月的筹备工作中,新利官网登录先后引进种植牙机、口腔CT等先进诊疗设备,为种植牙技术的顺利开展提供了坚实的硬件支撑,并于6月4日为患者开展种植牙一期手术。术中微创操作,患者完全无痛,术后无不良反应,整个诊疗过程舒适、安全、精准。经术后影像检查,种植体植入位置良好,手术获得圆满成功,患者及家属对本次治疗效果非常满意。

种植牙全称为口腔种植修复治疗,是在缺牙区牙槽骨内植入生物相容性好、形态似牙根的种植体,并在此基础上进行牙冠修复的治疗技术,治疗周期约为4-9个月,具有稳固、逼真、不损伤邻牙等优势,是目前牙齿缺失后最有效的修复方法。骨、牙发育定型、牙槽骨骨形态质量良好、种植区有足够高度及宽度的健康骨质、口腔软组织无明显炎症及病损的患者均可开展种植牙手术。
“人生志在登攀时,无限风光在前方。”本次种植牙技术的成功开展,有力填补了新利官网登录在种植牙领域的空白,标志着医院口腔疾病诊疗技术水平又迈上了一个新的台阶。在今后的发展进程中,新利官网登录将深入学习贯彻习近平新时代中国特色社会主义思想,全面贯彻党的二十大精神和习近平总书记考察云南重要讲话精神,全力树牢“以人民健康为中心”的发展思想,充分发挥近水楼台先得月的优势,以昆明医科大学附属口腔医院对口帮扶专家为师,潜心学习、认真钻研,迎难而上,不断拓展新技术新项目,努力提升县域广大口腔疾病患者的就医获得感、幸福感、安全感和满意度,为县域广大口腔疾病患者提供坚实的健康保障!
新利官网登录北院区(新平县人民医院)口腔科就诊咨询电话:0877—7024223
撰稿:罗清富 编辑:罗清富 校对:龚兆文 审核:刘 进
附:新利官网登录北院区(新平县人民医院)口腔科诊疗技术骨干简介

张云鹏,医学博士,主治医师,中华口腔医学会会员。昆明医科大学附属口腔医院对口帮扶新利官网登录医疗队专家,新利官网登录北院区口腔科副主任。毕业于山东大学口腔医学院种植学专业,曾赴德国马克思-普朗克研究所(MPI)交流学习,先后国内外学术期刊发表数十篇学术论文。
专科特长:擅长牙列缺损的种植修复,种植美学修复及多种复杂骨增量技术。
驻点科室:新利官网登录北院区口腔科
帮扶时间:2024年3月—2025年3月
联系电话:13888318215

李艳兰,北院区口腔科代理主任,口腔医学主治医师。
专业特长:擅长儿童、成人矫治,牙体牙髓病诊治及口腔科常见病、多发病的诊疗。
联系电话:18087793415

刘正伟,住院医师。
专业特长:擅长于牙体牙髓病诊治、复杂牙、阻生牙拔除术、固定义齿、活动义齿修复。
联系电话:18087779020