您当前的位置: 首页 > 新闻动态 > luck18(中国)体育
近日,新利官网登录北院区呼吸与危重症医学科在云南大学附属医院呼吸与危重症医学科邢西迁主任的指导下,成功开展了我县首例内科胸腔镜检查术,标志着我院呼吸内科在微创技术上迈上了一个新的台阶。

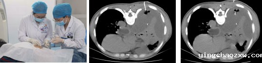
据悉,患者为男性,现年56岁,因“咳嗽、咳痰伴右侧胸痛4天”,于6月15日入住我院北院区呼吸与危重症医学科,胸部CT检查示:右侧中等量胸腔积液,叶间裂增厚积液;胸腔超声示:右侧胸腔包裹性积液;右侧胸腔内稍强回声,血供稍丰富。入院后为患者开展抗炎治疗、胸腔闭式引流术,但引流效果不佳。患者胸腔包裹性积液原因不明确,胸膜粘连,诊治比较困难。为了消除患者的痛苦,让患者早日恢复健康,科室医疗组经过审慎认真的评估,为患者制定出创伤最小、恢复最快的内科胸腔镜检查及治疗,并于6月25日为患者开展胸腔镜检查术,胸腔镜下见:右侧胸膜广泛粘连。术中为患者开展胸膜活检术,胸膜粘连松解术,既解除了胸膜粘连,又取得了活检标本。该患者最终诊断为:脓胸。术后北院区呼吸与危重症医学科继续对患者实施抗炎巩固治疗,历经21天的治疗后,患者病情恢复良好。

胸膜腔被致病菌感染,产生脓性积液集聚在胸膜腔称为脓胸,早期及时治疗可避免传统外科开胸手术治疗,而内科胸腔镜手术是治疗脓胸最为有效的方法,与传统开放性手术相比,内科胸腔镜手术具有手术切口小、术后并发症少、患者术后恢复快等优点,适应症主要有胸膜肿瘤、气胸、肺癌、胸腔积液、脓胸等。

“满眼生机转化钧,天工人巧日争新。”新利官网登录成立以来,全院上下大力弘扬“敢闯敢试、敢为人先”的玉溪精神,集中优势力量建设高精学科,不断攻克更多的高精硬核技术,有力地在院内营造出比学赶超创新争优的浓厚氛围,先后开创出县级医疗史上的多个首例,医院看大病、治重病的能力得到快速提升。在今后的发展进程中,新利官网登录将全力树牢以人民健康为中心的发展思想,始终秉持“人民医院为人民”的宗旨和“团结奉献、精益求精”的医院精神,求索进取、砥砺创新,以全力提升医疗技术水平和服务能力为突破口,切实缓解基层群众“看病难、看病贵”问题,为实现“大病不出县、小病不出乡、头疼脑热不出村”的医改目标,为奋力谱写新平医疗卫生事业高质量发展新篇章而不懈努力,以优异的成绩喜迎党的二十大胜利召开。
北院区呼吸与危重症医学科医师团队简介:

普志萍,新利官网登录党委委员、副院长,副主任医师,2006年7月毕业于昆明医学院临床医学专业。2011年3月到昆明医科大学第一附属医院进修学习呼吸及内分泌系统疾病诊疗。2014年9月到昆明医科大学第一附属医院及昆明市延安医院进修学习支气管镜检查半年。专业特长:肺炎、支气管哮喘、慢性阻塞性肺疾病、肺源性心脏病、呼吸衰竭、慢性咳嗽、睡眠呼吸暂停综合症等呼吸系统常见、多发病的诊疗及支气管镜检查、CT引导下肺穿刺活检术。

全杨波,新利官网登录北院区呼吸与危重症医学科主任,主治医师,2012年7月毕业于大理医学院临床医学专业。2014年9月到昆明医科大学第一附属医院进修学习肺功能。2019年4月至12月到昆明医科大学第一附属医院及云南省第二人民医院进修学习呼吸系统疾病的诊疗、支气管镜检查。专业特长:肺炎、支气管哮喘、慢性阻塞性肺疾病、肺源性心脏病、呼吸衰竭等呼吸系统常见、多发病的诊疗及肺功能检查、支气管镜检查。

任雁,住院医师,本科学历,2010年7月毕业于河北省承德医学院临床医学专业,2010年12月到新平县人民医院工作至今。2020年6月到云南省第一人民医院进修学习肺康复及RICU。2021年5月-7月到云南省第一人民医院进修学习支气管镜检查。专业特长:支气管炎、慢性咳嗽、支气管哮喘、肺炎、慢性阻塞性肺疾病、支气管扩张、呼吸衰竭、肺栓塞、肺心病等常见、多发病的诊疗和支气管镜检查。
新利官网登录北院区呼吸与危重症医学科就诊咨询电话:
0877-7024156,全医生:18088916261