您当前的位置: 首页 > 新闻动态 > 新利娱乐官网首页入口
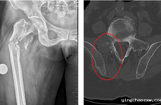
近日,新利官网登录西院区骨伤科收治了一名特殊53岁女性肺部恶性肿瘤患者,本次入院因扭伤致右侧大腿肿痛、畸形、活动障碍入院。入院检查后明确患者为右侧股骨上段骨折,骨折端周围有骨质破坏伴全身多处骨转移征象。考虑患者右侧股骨上段骨折为肺肿瘤骨转移导致右侧股骨骨质破坏,骨质强度降低,轻微外力后导致右股骨病理性骨折。

由于患者肺部恶性肿瘤伴全身骨转移,保守治疗骨折端无法愈合,患者将长期卧床,以后不能下地,要长期忍受骨折端疼痛。家属心急如焚,自行到省市级三甲医院咨询,均建议放弃治疗,但患者骨折后疼痛剧烈,难以忍受,患者家属强烈要求为患者积极治疗,消除疼痛改善功能,减少患者的痛苦。

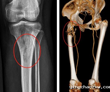
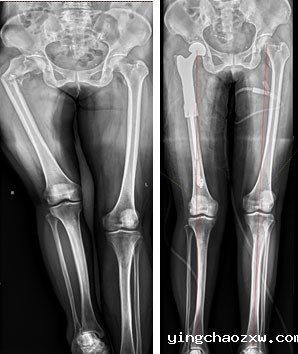
县总医院骨科团队综合研判患者病情,及时制定合理、安全、有效的治疗方案,决定为患者行右侧股骨骨肿瘤切除,肿瘤型人工髋关节置换术。因患者右股骨髓腔细小,常规人工髋关节体假体无法使用,需使用特殊假体,根据患者DR、CT,向生产厂家为患者量身定做了个性化定制型人工肿瘤髋关节假体,征对患者髓腔细,假体特别设计了个性化结合部加强套筒,确保假体强度及使用安全,术前行右下肢动脉CTA,严格评估右股骨肿瘤营养动脉血供情况,避免术中出现难以控制出血,经精心准备,在主任医师陈志强院长带领下,总医院骨科近日成功为患者实施了右侧股骨近端恶性肿瘤骨转移切除、定制肿瘤型人工髋关节置换术。手术历时2小时完成,术中患者病情平稳,术后患者疼痛疼痛消除,右下肢活动明显改善,患者的生活质量得到了极大提高,家属也十分满意。


该项手术的成功开展,标志着新利官网登录关节外科技术水平又进入一个新的高度,目前,新利官网登录骨科已形成以关节外科、脊柱外科、周围血管介入、创伤骨科、微创关节镜外科、微创脊柱椎间孔镜外科和小儿骨科亚专业学组的现代学科格局,医疗技术水平市内领先并跨入省内先进行列,已成为玉溪市膝关节置换数量最多、技术力量最强最先进的科室之一,秉承“爱岗敬业、勤学精术”的院训,遵循“技术兴医、人才强院”的理念与前进路线,是一支爱岗敬业、乐于奉献、技术高超、服务一流的关节外科医疗团队。在未来的工作中,总医院骨科将继续为本县广大人民群众提供优质的医疗服务,先进的医疗技术,为新平百姓大病不出县做出新的更大的贡献!(新利官网登录骨外科)