您当前的位置: 首页 > 新闻动态 > 新利娱乐官网首页入口
--新利官网登录骨科医疗团队独立完成玉溪市首例内轴型人工膝关节置换术
岁末寒冬,喜气盈门。2022年11月16日,新利官网登录骨科医疗团队在院党委副书记、院长、兴玉名医陈志强主任医师的带领下,独立完成了玉溪市首例内轴型人工膝关节置换术。

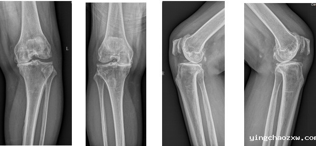
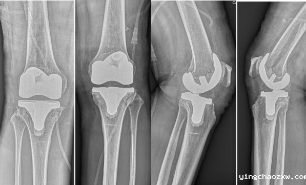
据悉,该患者为女性,现年55岁,双膝关节反复疼痛已有10余年,并伴有膝关节肿胀,膝关节屈曲活动受限,不能下蹲,上下楼非常困难。期间患者曾辗转多家外院进行治疗,均未见好转。患者入院后,骨伤科医疗团队完善相关检查,明确患者为双膝关节退行性病变。考虑到患者双膝关节炎病史较长,膝关节退变严重,膝关节已磨损软骨无法恢复,如继续采用保守治疗,效果并不理想,患者仍将长期忍受疼痛的折磨,严重影响生活质量。为了消除患者的痛苦,让患者早日恢复健康,骨伤科医疗团队综合研究患者病情,制定了科学、合理、安全、有效的治疗方案,于11月16日对患者实施了双膝内轴型人工关节置换术。术后患者膝关节疼痛消除,手术结束患者即可自行抬腿,屈伸膝关节,术后第二日无需持拐杖就可下床行走,手术获得圆满成功。

膝关节骨性关节炎是中老年人的一种常见关节疾病,它是由关节软骨磨损退化病变所致,给中老年人带来痛苦和磨难,甚至造成残疾。在我国,60岁以上的老年人有78.5%以上患有膝关节骨性关节炎。随着人口老龄化的不断加剧,膝关节退行性关节炎等疾病的发生率呈逐步上升趋势。数据显示,2022年国内全膝关节置换手术量预计达44.2万例。同时,有研究指出,近20%的患者对全膝关节置换的手术效果并不满意,其主要原因是术后膝关节出现不稳定情况。内轴型膝关节设计无需进行髁间截骨,通过手术医生对软组织的毫米级精准平衡,在极高的骨保留基础上提供更高的关节活动度以及更可靠的耐磨性能,尽可能地模仿自然膝关节的运动特征以重建膝关节正常的运动力学,维持膝关节在运动中的稳定性,使得术后的运动力学特征和患者步态更加自然,使患者术后感受更好,几乎“忘记”换过膝关节,进一步提高了患者的满意度。临床随访17年的结果显示内轴型膝关节具有极高的假体存留率(98.8%)和患者满意度(95%)。

“沧波借我无穷力,不负平生逐浪心。 ”本次内轴型人工膝关节置换术的成功开展,是新利官网登录骨科在全膝关节置换术膝关节骨性关节炎诊治方面取得的又一个重大技术突破,新利官网登录也因该项新突破而成为玉溪市目前唯一一家能独立开展内轴型全膝关节置换术的医院,标志着新利官网登录关节外科技术水平巳达市级领先省级先进水平,为深化医疗卫生体制改革大病大手术不出县奠定了坚实的基础。在今后的发展进程中,新利官网登录将深入学习贯彻党的二十大精神,全力树牢“以人民健康为中心”的发展思想,继续弘扬“敢闯敢试,敢为人先”的改革精神,认真践行“人民医院为人民”的医院宗旨和“团结奉献、精益求精”的医院精神,踔厉奋发,勇毅笃行,以坚韧不拔的意志和无私无畏的勇气顽强拼搏、求索奋进,不断攻克更多的高精硬核技术,努力在新时代追赶超越和高质量发展的新征程中展现出新总医人的新担当新作为,为实现“大病不出县、小病不出乡、头疼脑热不出村”的医改目标,为奋力谱写好新平医疗卫生事业高质量发展新篇章而不懈奋斗!
